The Direct Route from
Spatial Data to Therapeutic Insight
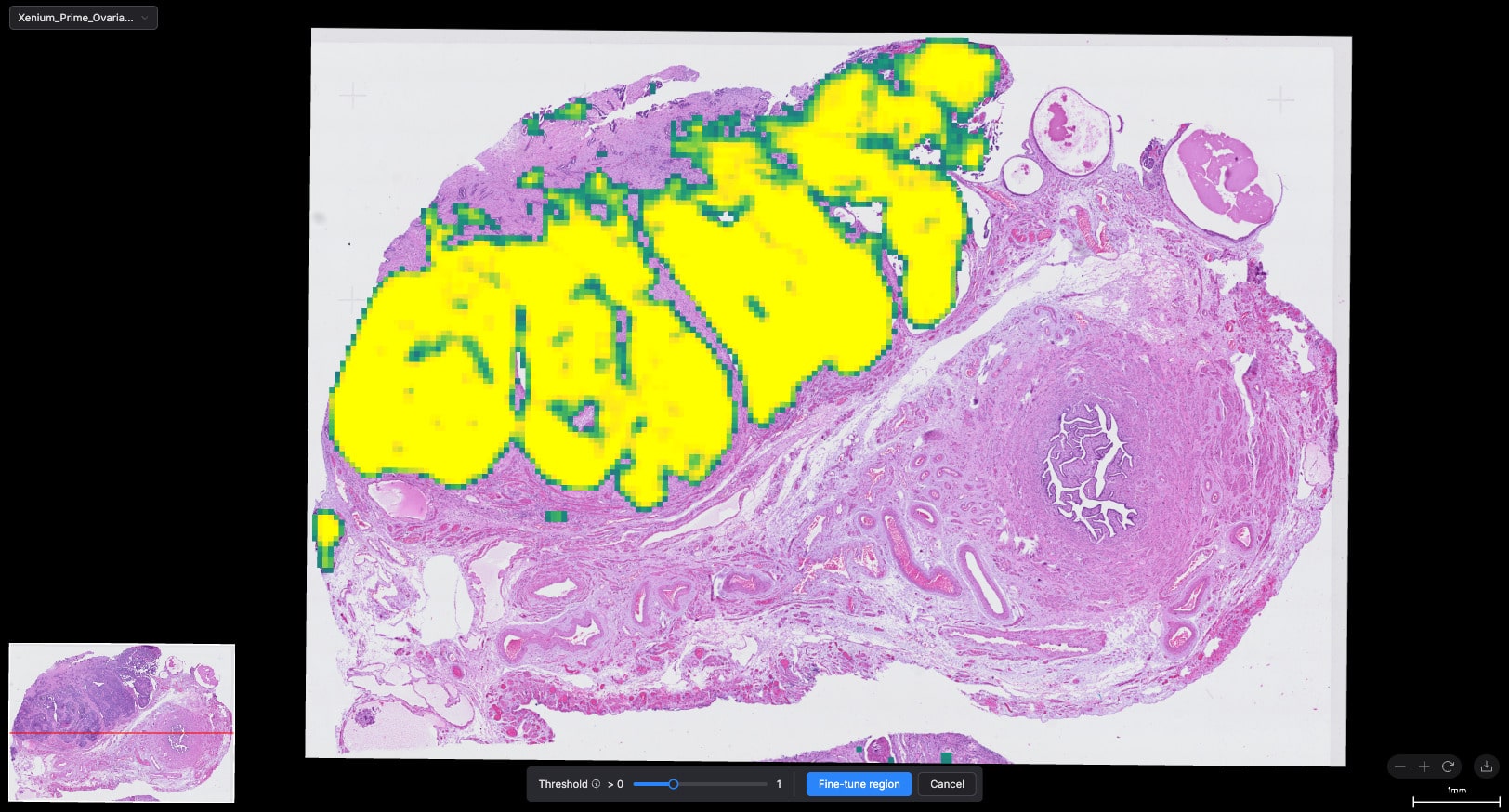
SpatialX is the integrated platform designed for multi-image, multi-technology spatial data (CosMx, Xenium, Visium), offering a host of algorithms and tools for in-context analysis with optimized computation and an updated cell annotation database.


















